診療理念 概 要 各種検査 手術症例 病 室 地 図 リンク
■ マルチスライスCT

■ X線診断システム

 FCR


2015年〜

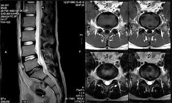
■ オープン型MRI装置

低音・開放・高速の最新の日立MRI装置を設置しております。

●放射線を使っていないので、人体に対し無侵襲で苦情も少なく、安全な検査です。
●一度の検査で患者さんは動くことなく縦、横、斜めなど、全身のあらゆる方向の断層像が撮影できます。断層像の他、血管像も撮影できます。
ワイドオープン型のシステムですので、圧迫感・閉塞感が少なく、小児やご高齢の方でも安心して検査が受けられます。
音が静かなMRI装置です。


画像は(株)日立メディコのHP(http://www.hitachi-medical.co.jp/product/mri/com/index.html)より引用

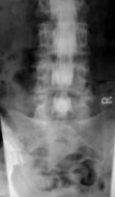
■ 脊髄腔造影
   ( ミエログラフィー )
脊髄造影検査とは、脊髄のくも膜下腔に造影剤を注入して脊髄、神経根の様子を調べる検査です。  脊髄神経は、背骨の後方の「脊柱管」という骨で囲まれた管の中を通っている細長いチューブのような組織で、周りを「硬膜」と「くも膜」という2枚の膜に包まれています。膜と脊髄の間(くも膜下腔)は「髄液」という液で満たされていて、脊髄神経はこの髄液の中で浮いている状態になっています。この髄液で満ちているくも膜下腔に造影剤を注入して、X 線写真で脊髄本体やそこから枝分かれして出ている神経の枝(神経根)の姿を映し出す検査がミエログラフィーです。 脊髄造影はMRI 検査よりも脊髄神経、神経根の外観を詳細に見ることができます。例えば椎間板ヘルニアがどの神経根をどのあたりで圧迫しているか、脊柱管がどれくらい狭くなっているかなどは MRI よりも分かりやすいです。またCT を同時に撮影して、造影された脊髄の横断面の様子を調べることもあります。
■ 神経根造影・ブロック

腰の神経の枝は左右に5ー6対あります。これを神経根といいます(図1)。椎間板ヘルニア等で臀部から足に痛みがある場合、多くはそのうちの1本または2本が圧迫されることが原因となっています。神経根造影は神経根に直接針を刺して、刺した神経根が現在の下肢の痛みの原因となっているかどうかを確定する検査です。また同時に痛み止めの薬と神経根の腫れ抑える薬(ステロイド剤)混ぜたものを直接神経に注入します。この注射でしばらくの間(数時間〜人によっては数週間)足の痛みがおさまることがあります。これが神経根ブロックです。

 

ホーム