![]() |
| 診療理念 | 概 要 | 各種検査 | 手術症例 | 病 室 | 地 図 | リンク |
|
![]() |
||
|
|
![]() |
||
| 腰椎椎間板ヘルニアの手術前 | 腰椎椎間板ヘルニアの手術後 | 顕微鏡下にヘルニアを摘出 | |
![]() |
![]() |
||
|
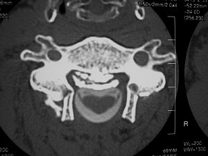
頚椎椎間板ヘルニアの顕微鏡下後方摘出術 |
ヘルニアを摘出しているところ | ||
![]() |
![]() |
||
|
難病の頚椎後縦靱帯骨化症の手術前 |
手術後 | ||
|
|
![]() |
||
|
術前 MRI |
術後 MRI | ||
![]() |
![]() |
||
|
腰部脊柱管狭窄症の手術前 |
腰部脊柱管狭窄症の手術後 | ||
|
|
![]() |
||
|
胸椎部の脊髄腫瘍の手術前 |
脊髄腫瘍の手術後 | ||
| ホーム |